Thumb Sucking: Break the Unhealthy Dental Habit

Thumb Sucking: Break the Unhealthy Dental Habit

Thumb sucking is a common habit among infants and young children. While it is generally harmless in the early years, prolonged thumb sucking can lead to dental and developmental issues. Addressing this habit before it affects your child’s oral health and overall development is essential. In this article, we will explore the impact of thumb-sucking on dental health and provide effective strategies to help your child break the habit.

Understanding Thumb Sucking

Thumb sucking is a natural reflex for infants, providing comfort and security. Most children stop on their own between ages two and four. However, if the habit continues beyond this age, it can lead to various dental problems.

Why Children Suck Their Thumbs

Children suck their thumbs for several reasons:

  • Comfort and security
  • Self-soothing during stress or anxiety
  • A habit formed in infancy
  • Boredom or inactivity

Impact of Thumb Sucking on Dental Health

Prolonged thumb sucking can have significant effects on a child’s dental health. Understanding these potential issues can help motivate parents to address the habit early.

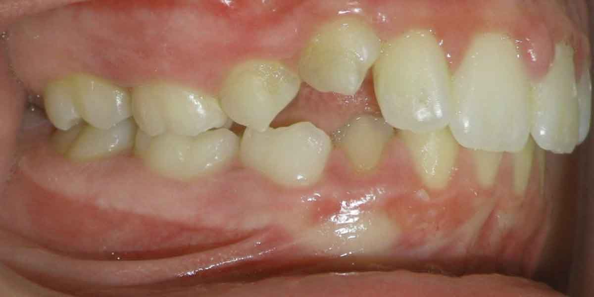
Malocclusion

Malocclusion refers to the misalignment of teeth. Prolonged thumb sucking can cause the upper front teeth to protrude (overbite) or the lower teeth to tilt inward (underbite). These misalignments can affect the child’s ability to chew and speak and even impact their self-esteem.

Palate Deformation

Continuous thumb sucking can also affect the development of the roof of the mouth (palate). The pressure from the thumb can create a high, narrow palate, leading to breathing difficulties and improper teeth alignment.

Speech Problems

Dental misalignments and palate deformation caused by thumb sucking can contribute to speech problems. Children may develop a lisp or other speech impediments that can affect their communication skills and social interactions.

Skin Irritation

Chronic thumb sucking can cause skin irritation, calluses, or infections on the thumb. This can be uncomfortable for the child and may require medical attention.

Effective Strategies to Break the Thumb Sucking Habit

Breaking the thumb-sucking habit can be challenging, but with patience and consistency, it is achievable. Here are some effective strategies to help your child overcome this habit.

Positive Reinforcement

Positive reinforcement is a powerful tool for encouraging behavior change. Praise your child for not sucking their thumb and offer rewards for progress. This could be a sticker chart where they earn a reward after a certain number of stickers.

Implementing Positive Reinforcement

  • Create a reward chart to track progress
  • Offer praise and small rewards for milestones
  • Celebrate achievements to keep your child motivated

Identify Triggers

Understanding the triggers that lead to thumb sucking can help you address the root cause. Observe when your child tends to suck their thumb and identify any patterns, such as during stress, boredom, or bedtime. Once you know the triggers, you can work on providing alternative comfort or distraction methods.

Steps to Identify and Address Triggers

  • Keep a journal to track when thumb-sucking occurs
  • Identify common situations or emotions linked to the habit
  • Offer alternatives like a comforting toy or activity during these times

Use Gentle Reminders

Gently reminding your child not to suck their thumb can help them become more aware of the habit. Avoid harsh scolding, which can create anxiety and make the habit worse. Instead, use calm and gentle reminders to encourage them to stop.

Effective Gentle Reminder Techniques

  • Use a code word or phrase to remind your child
  • Offer a substitute activity, like holding a stuffed animal
  • Be patient and consistent with reminders

Provide Comfort and Security

If thumb sucking is a way for your child to self-soothe, finding alternative sources of comfort can be beneficial. Offer extra cuddles, a favorite blanket, or a special toy to help your child feel secure without resorting to thumb-sucking.

Comfort Strategies

  • Encourage the use of a comfort object, like a blanket or stuffed animal
  • Spend quality time together to reduce anxiety
  • Create a calming bedtime routine

Use a Thumb Guard

Thumb guards are plastic devices that fit over the thumb, making it difficult for the child to suck. These can be effective in breaking the habit, especially when used consistently. However, it’s essential to explain to your child why they are wearing it to avoid feelings of punishment.

How to Use a Thumb Guard

  • Choose a thumb guard that fits comfortably
  • Explain to your child its purpose and how it helps
  • Use the thumb guard consistently, especially during peak thumb-sucking times.

Seek Professional Help

If your child struggles to stop thumb-sucking despite your best efforts, seeking professional help can be beneficial. A pediatric dentist or orthodontist can provide additional strategies and may recommend appliances to discourage thumb-sucking. In some cases, a therapist can help address underlying emotional issues contributing to the habit.

When to Seek Professional Help

  • If the habit persists beyond age four
  • If the thumb sucking is causing dental or speech issues
  • If your child seems anxious or stressed about stopping

Conclusion

Thumb sucking is a common habit in young children that usually resolves on its own. However, prolonged thumb sucking can lead to dental and developmental issues that require intervention. By using positive reinforcement, identifying triggers, providing comfort, and seeking professional help, you can help your child break the thumb-sucking habit and protect their dental health. Your child can overcome this habit with patience and consistency and enjoy a healthier, happier smile.

Table of Contents

Disclaimer:

The information provided in this blog post is for general informational purposes only. All information on the site is provided in good faith. However, we make no representation or warranty of any kind, express or implied, regarding the accuracy, adequacy, validity, reliability, availability, or completeness of any information on the site.

Under no circumstance shall we have any liability to you for any loss or damage of any kind incurred as a result of the use of the site or reliance on any information provided on the site. Your use of the site and your reliance on any information on the site is solely at your own risk.

This blog post does not constitute professional advice. The content is not meant to be a substitute for professional advice from a certified professional or specialist. Readers should consult professional help or seek expert advice before making any decisions based on the information provided in the blog.

aeecorp.net giftsandflowersdelivery.com chadgill.com mdkchild.com oconeefps.com vegchip.com localdentistnj.com pedare.org rushcover.com 10-10ths.com abvakabo.net personalattorneynewjersey.com graficas.us oqprogram.com hogchow.com nearmepersonalinjurylawyer.com cosmeticdentistrybk.com dentistnearmetoday.com thescinc.com sensney.com porcelainveneersbrooklyn.com actslab.com dudedog.net frogetha.com mayieka.com namekeg.com skytudor.com digacomp.com elyrical.com abacobeachdivecenter.com zamichow.com fernworx.com rozei.org herzstein.org arenauk.org omniali.net oolitic.net gladych.com sourebh.com tgspider.com demycom.com ospreyam.com antacids.net mvscrew.com lowellmovers.net locallawyerblog.com unimarts.com misrasi.com locallawyersnj.com alum-tek.com dental-aed.com medicalmalpracticeattorneybronx.com dentistnearmebronx.com defwords.com gocamden.com amprose.net mcamics.com virdiusa.com medicalmalpracticelawyerbronx.com divinev.com lawyermarketingmiami.com nearmepersonalinjurylawyers.com medicalmallawyersbronx.com allaxion.com lphilton.com osaruman.com jaxguide.com thecall.net cssvoip.com dentistnearmestatenisland.com bestbrooklynattorneys.com nearmeattorney.com dentistnearmequeens.com localseolawyers.com lowratescarrental.com sjwalter.com dentalbrooklyn.net wofsmail.com spgurley.com omalawyers.com cadsteam.com theellen.org jdevien.com booksavy.com dentalbrooklyn.info avitexas.com ebizthai.com localseodental.com castsoxs.com vr5xs6yh.com ridemoor.com brooklynadvanceddentalcare.com escorts-nyc.net personalinjuryattorneysnjs.com fastpawnonline.com toothimplantsbrooklyn.com rootcanalbrooklyn.com mearabia.com togtouch.com epcdaily.com timesfcu.com lawyersbk.com vaianisi.com cybewire.com giftsandflowersdirectory.com mooredns.com dentistnearmenewyork.com gp-beautysalon.com oxadrine.com boxsteps.com 3bliving.com psychdog.us foralbum.com eurofixpaintingandtile.com dentistrybk.com arielber.com akatonia.com ilcorail.com elitepersonalinjuryattorneys.com dentistnearmebrooklyn.com famsvane.com dentallabny.com nearmepersonalattorneys.com teethwhiteninginbrooklyn.com dentistnearmelongisland.com moversframingham.com mydentistbrooklyn.com colacake.com paradiselocksandkeys.com carsfile.com solapnet.com ausburyparkmovingcompanies.com probatelawnow.com nearmedentals.com homeinhb.com joeyspcs.com locallawyernyc.com icubeweb.com avifiles.com dentistbk.com regismfg.com bencamel.com playkiwi.com hosearch.com fondaciocanada.org click2classic.com nearmepersonalinjuryattorneys.com invisalignbrooklyn11229.com toothextractionbrooklyn.com locallawyersny.com siyangbi.com eriefsbo.com teserint.com gaiacred.com bigapplegoldbuyer.com homeimprovementgeneralcontractors.com tofuclan.com funeatin.com soldrite.com siyiyoga.com getmilko.com myhelong.com nearmepersonalinjuryattorney.com walibris.com etard.net arkrocks.com pansdora.com limmudtr.com golisters.com newyorkaccidentslawyer.com greytblog.com ovolaw.com medicalmalpracticeattorneysbronx.com electionreceipt.com depsites.com opasm.org rcadss.com lamassio.com personalinjuryattorneysnys.com funemoney.com benramon.com izandoli.com leicsvle.com busiwebs.com coolnewt.com jrhome.org affirmers.org localattorneynj.com sehah.org xtcplace.com djonfire.com epaops.org hometheatermiami.com peelseek.com jandavidson.net nappyboyent.net nygot.com ziggs.org uniquedayspa.net vistamro.com pdmanewengland.org ewanrose.com lawyersconsult.com grovepto.org disfilca.com artmystic.com ocany.org quarkpark.info paingold.com tactfoot.com marmasse.com iddmiami.com cdstrees.com lostel.com itxoft.com sparltech.com
5stepstoestateplanning.com advancedpowerofattorney.com advancedprobateservices.net advancedwilllaw.com appointyourguardian.com attorneyforestate.com attorneyforestates.net completeestatesplanning.com completepowerofattorney.com customprobateservices.com directtrustandwill.com draftyourwill.net draftyourwill.org essentialtrustplanning.com estate-and-probatelaw.com probatelawnow.com estatelaw-solutions.com estatelawadvisors.com estatelawessentials.com estatelawspecialists.net estatelawspecialists.org estateplanning-newyork.com estateplanning-pro.com estateplanning101.net estateplanningandprobatelaw.net estateplanningandprobatelaw.org estateplanningattorneybocaraton.com estateplanningessentials.net estateplanningessentials.org estateplanningforindividuals.com estateplanningforyou.net estateplanninglaw.net estateplanningnow.net estateplanningprobate.net estateplanningtrustsandwills.com estateservicesnewyork.com estatesplanningspecialists.com estatetrustandwill.com estatewillsandtrusts.com fullguardianshipservices.com fullprobate.com fullprobatelaw.com fullprobateservices.net guardianshipadvocates.org guardianshipandwills.com guardianshipandwills.org guardianshipexperts.com guardianshipforloved.com guardianshipguidance.org guardianshipgurus.com guardianshipgurus.net guardianshiplawexperts.com guardianshiplawfirm.net guardianshiplawspecialists.com guardianshiplegalhelp.net guardianshipnow.com individualwilldrafting.com innovativeestatelaw.com innovativetrustsolutions.com manageyourtrust.com modernprobatelaw.com modernwilldrafting.com morganlegalfl.com personalestateplanning.net powerattorneynewyork.com powerofattorneyconsultants.com powerofattorneyfirm.com powerofattorneyhelp.com powerofattorneynewyork.com powerofattorneypro.com powerofattorneyservice.com powerofattorneyservices.net powerofattorneytoday.net probate-consultants.net probate-process.com probate-services.net probateandtrustlawyers.net probateandtrustlawyers.org probateexperts.net probatelawadvisors.com probatelawnow.com probatelawsolutions.com probatelegalservices.net probateprocesssimplified.com probateprofessionals.net probateservicesforyou.com probateservicesnewyork.com probateservicestoday.com probatesimplified.net protectlegacy.net secureyourestates.com smartestateplanning.net smartguardianshipservices.com smarttrustlaw.com theestateplanning101.com thetrustadministration.com thewillsandtrusts.com totalestatelaw.net totaltrustssolutions.com totalwilllaw.com trust-administration.net trustadministrationtips.com trustandwilladvisors.com trustandwillattorneys.com trustandwillattorneys.org trustandwilllawyers.com trustcreationservices.com trustlawexperts.net trustlawprofessionals.com trustlawtoday.com trustsandestateplanning.net trustsforfamilies.com trustsforfamilies.net trustswillsandestateplanning.com trustswillsandestateplanning.net trustworthytrusts.com willandprobateservices.net willdraftingdoneright.com willdraftingessential.com willdraftingforfamilies.com willdraftingservices.com willexecutionexperts.com willexecutionexperts.org willlawconsultants.org willlawessentials.com willlawservices.com willsandguardianship.com willsandguardianship.org
On Key

Related Posts

Trusts and Wills
Federal Law

Understanding Trusts and Wills

Introduction to Trusts and Wills Trusts and wills are crucial components of estate planning, serving distinct but complementary roles in managing and distributing an individual’s

Read More »

Estate planning attorney New Jersey

Embarking upon the crucial journey of estate planning in New Jersey demands foresight, precision, and expert legal counsel. This comprehensive cornerstone guide is meticulously crafted

Read More »